To establish a practice offering high-quality dental care that is within reach
To bridge gaps in dental care, making essential treatments accessible
To provide effective relief from dental pain, prioritizing patient comfort
To empower the next generation Dentists with abridged knowledge
Our Vision
- To establish a practice offering high-quality dental care that is within reach
- To bridge gaps in dental care, making essential treatments accessible
- To provide effective relief from dental pain, prioritizing patient comfort
- To empower the next generation Dentists with abridged knowledge
Why Us
Welcome to YASHODA DENTAL & IMPLANT CENTER! We are committed to providing the highest quality of comprehensive dental care to our patients, delivered in a clean, friendly, and welcoming environment. Established in the year 2003, by Dr Nitesh Rai, a Prosthodontist and Implantologist.
We at Yashoda Dental Clinic look forward in helping you with your dental health needs, find the details below to book an appointment with us.
Expert Dental Care
Advanced Technology
Patient-Centric Approach
Long-Term Care
Treatments We Offer
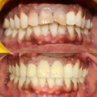
You can rely on us for dependable, comfortable, and expert dental care. With advanced technology, experienced specialists, and personalized treatment plans, we ensure every patient receives trusted, effective solutions for long-term oral health and confident smiles.
Dr Nitesh Rai
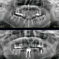
Dr Nitesh Rai, specializes in replacement of teeth with complete dentures, removable partial dentures, fixed partial dentures and Implants.
He has also been serving as a Senior Consultant at Krupa Dental Clinic, Srirampura — a renowned dental practice with a legacy of over 40 years — for the past 23 years
He has been actively involved in providing implant treatment for over two decades. He is also a committed academician, educating dental students and has been associated with Krishnadevaraya college of Dental sciences, Bengaluru as a Senior Professor, PG Guide and teacher in the Department of Prosthodontics, Crown and Bridge and Implant.
Google Reviews
- The extraction was completely painless – I didn’t feel a thing during the procedure
- Dr Nitesh Rai worked with incredible gentleness and skill
- Doctor checked for comfort level multiple times throughout
- Clear, easy-to-follow after care instructions were provided
- Follow-up call the next day to make sure I was doing well
He is really a humble person and well-qualified in his profession. My experience was amazing. He explained the issue and solutions and also gave me sometime to think on the procedure. I underwent the implant procedure, which was remarkably pain free. After 3 months the teeth was placed . Thanks to his precise digital measurements and meticulous attention in detail . Today , I have a prefect crown in place . I am grateful to Dr Nitesh Rai for his exceptional skill and compassion , for restoring not just my smile but my confidence too.
Wonderful experience! I had multiple implants placed and the treatment was smooth and painless. Dr. Nitesh Rai explained every step and gave me full confidence. Today I can bite into apples and enjoy food like before. The clinic staff are warm and friendly – it feels like home.
Yashoda Dental is truly the best for implants. I was nervous initially, but Dr. Nitesh Rai’s care and personal attention made everything easy. My implants feel natural and I can eat ever

C Mahalingappa
I recommend Dr. Nitesh Rai highly, especially for older patients who may have dental anxiety. I am 75-year-old needed an old tooth removed, and I was honestly worried about the procedure. From the moment we walked in, he was incredibly patient and understanding. Dr. Nitesh Rai took exceptional care, taking extra time to thoroughly explain exactly what would happen, answered all questions, and made sure felt completely comfortable before starting.
What impressed me most:
- The extraction was completely painless - I didn't feel a thing during the procedure
- Dr. Nitesh Rai worked with incredible gentleness and skill
- Doctor checked for comfort level multiple times throughout
- Clear, easy-to-follow after care instructions were provided
- Follow-up call the next day to make sure I was doing well
If you're looking for a dentist who treats senior patients with exceptional care and skill, look no further. We're so grateful to have found such a wonderful dental practice. Highly recommended for: Senior patients, tooth extractions, gentle care, professional service


















